Yazdır

Granülomatöz İnflamasyon ve Ateş; Yaşlı Bir Kadın Hastada Tüberküloz Tanısı ile
Karışan Wegener Granülomatözü

Behice KURTARAN*, A. Seza İNAL*, Hüseyin ÖZER**, Neşe SALTOĞLU*, Yeşim TAŞOVA*,
Eren ERKEN**


  * Çukurova Üniversitesi Tıp Fakültesi, İnfeksiyon Hastalıkları ve Klinik Mikrobiyoloji Anabilim Dalı,

** Çukurova Üniversitesi Tıp Fakültesi, İç Hastalıkları Anabilim Dalı, Romatoloji Bilim Dalı, ADANA

ÖZET

Wegener granülomatözü otoimmün kökenli olan ve üst ve/veya alt solunum yollarında granülomatöz lezyonlar ve böbrekte glomerülonefrit ile seyreden küçük-orta damar vaskülitidir. Genellikle granülomatöz inflamasyon ile seyreden infeksiyon hastalıklarının ayırıcı tanısında düşünülmelidir. Bu yazıda kliniğimize tüberküloz ön tanısı ile yatırılan 78 yaşında kadın hastada bu vaskülit belirlenmiş ve konuya dikkati çekmek üzere olgu sunulmuştur.

Anahtar Kelimeler: Wegener granülomatözü, Tüberküloz, Tanı

SUMMARY

Granulomatous Inflammation and Fever: Wegener's Granulomatosis in an Old Female Patient Supposed to be Tuberculosis

Wegener's granulomatosis (WG) is a small-medium vessel vasculitis representing renal involvement as glomerulonephritis and granulomatous lesions at lower and/or upper respiratory tract which should be thought to discriminate from granulomatous infections. We present a case of WG in a 78-year old female patient represented fever, cough and pulmonary nodules which is an uncommon disease should be remembered while making differential diagnosis in patients with fever of unknown origin.

Key Words: Wegener's granulomatosis, Tuberculosis, Diagnosis

Wegener tarafından tanımlanan ve küçük-orta damar vaskülitleri içerisinde sayılan Wegener granülomatözü (WG) üst hava yolları ve akciğerde nekrotizan granülomatöz lezyonlar, fokal segmental nekrotizan glomerülonefrit ve diğer organ patolojilerine neden olan yaygın bir vaskülit ile karakterize bir hastalıktır. Nadir görülen bu sistemik hastalıkta renal tutulum sıktır ve hızla ilerleyen glomerülonefrit ile ölüm ya da böbrek yetmezliğiyle sonuçlanabilir[1].

1990 yılında ACR (Vaskülit Klasifikasyon Alt Komitesi) tarafından sınıflama kriterleri belirlenmiş ve iki ya da daha fazla kriterin varlığının WG için %88.2 duyarlılık, %92 özgüllük oranlarına sahip olduğu gösterilmiştir (Tablo 1)[2].

En sık görülme yaşı dördüncü ve beşinci dekadlara rastlayan ve daha çok erkeklerde görülen hastalık, 9-78 yaş arasında karşımıza çıkabilmektedir[1].

Olguların %45'inde başlangıçta, %87'sinde hastalık süresince akciğer tutulumu vardır ve bu tutulum pulmoner nodüller, infiltratif gölgeler ve bazen kavitasyonlar şeklinde olabilir. Genellikle her iki akciğer parankiminde tutulum vardır ve apeksler genellikle hastalıktan etkilenmez. Asemptomatik seyredebileceği gibi hemoptizi, öksürük, nefes darlığı ve plöritik ağrı ile ortaya çıkabilir[3].

Solunum sistemi infeksiyonları remisyondaki WG'de relapsı tetikleyebilir. Trimetoprim-sülfametoksazol ile tedavinin, relapsları önlemede faydası gösterilmiştir[4].

Ayırıcı tanıda mikobakteri, sifiliz, nokardiya ve mikozların neden olduğu infeksiyonlar düşünülmelidir ve bu etkenlere yönelik özel boyama ve kültürler yapılmalıdır[1].

İnfeksiyona bağlı gelişen vaskülitin nekrotizan olmayışı, WG olgularında böbrek tutulumunun varlığı ve cANCA (antinötrofilik sitoplazmik antikor) veya PR3-ANCA (antiproteinaz 3-ANCA) pozitifliği ayırıcı tanıda önemlidir. PR3-ANCA pozitifliği hastalık ile yüksek derecede korelasyon gösterir ve çalışmalarda normal bireylerde pozitiflik gösterilmemiştir. Antikor titresi tedavi ile sağlanan remisyon sırasında düşer ya da kaybolurken relapslarda yeniden ortaya çıkar ya da titre artışı gözlenir. PR3-ANCA aktif WG olan hastaların %90'ından fazlasında pozitiftir. Aktif glomerülonefriti olmayan olguların ise %65-70'inde pozitiflik saptanır[5].

Tedavi edilmeyen hastalarda ortalama yaşam süresi birkaç aydır ve bir yıllık mortalite oranı %82'dir. WG'li hastaların tedavisinde siklofosfamid ve prednizolon kullanılması prognozu dramatik olarak iyileştirmiş olmasına rağmen %50 ve daha fazla oranda hasta beş yıl içinde relaps göstermekte ve tedaviye gereksinim duymaktadır. Siklofosfamid ve prednizolonun uzun süre kullanımı ise ciddi toksik etkilere yol açmaktadır[6].

Kliniğimize ateş, akciğerde nodüler ve pnömonik infiltratlar ve kilo kaybı tablosu ile yatırılan bir hasta sunulmuştur.

OLGU SUNUMU

Yetmişsekiz yaşında kadın hasta yatışından 20 gün önce başlayan öksürük, 39°C'yi geçen ve özellikle akşam saatlerinde yükselen ateş, bulantı-kusma, iştahsızlık ve beyaz renkli-köpüksü balgam çıkarma nedeniyle dış merkezde tetkik edilmişti. Çekilen göğüs direkt grafi ve tomografisinde sağ akciğer alt lob süperiorda geniş pnömonik konsolidasyon, sağ hiler ve prekarinal lenfadenomegali, her iki akciğer lobunda yer yer yuvarlak, yer yer amorf, multipl, değişik boyutlarda ve lokalizasyonda nodüler lezyonlar saptanmış, bunun üzerine yapılan bronkoskopi ve biyopsi sonucunda sağ üst lob girusta infiltratif görünüm ve tüberküloz ile uyumlu granülomatöz iltihap tespit edilmişti (Resim 1, Resim 2). Hasta bulantı, kusma ve oral beslenememe nedeni ve tüberküloz ön tanısı ile servisimize yatırıldı.

Hastanın özgeçmişinde 12 yaşındayken geçirilen sıtma ve son beş yıldır olan hipertansiyon dışında bir özellik yoktu. Soygeçmişe ait bir özellik de saptanmadı.

Sistem sorgulamasında son bir yıldır allerjik olarak tanımlanan burun akıntısı, son 20 günde iki kilo kaybı ve iştahsızlık, ara ara çarpıntı hissi olduğu öğrenildi.

Fizik muayenesinde deride solukluk ve kuruluk, nazofarenkste hiperemi, burun mukozasında kurutlu lezyonlar saptandı. Şuur bozukluğu, lenfadenomegali, hepatosplenomegali, akciğer ve kalpte patolojik ses mevcut değildi.

Laboratuvar değerlerinde lökosit 15.500/mm3, hemoglobin 10.8 g/dL, hematokrit %31.4, trombosit 787.000/mm3 idi. Periferik yaymasında nötrofili, sola kayma, trombositoz, anizositoz, hipokromi mevcuttu. İdrar sedimentinde 40'lık büyütmede her sahada beş-altı eritrosit görüldü. BUN 19 mg/dL, kreatinin 0.9 mg/dL, sodyum 129 mEq/L, potasyum 4.4 mEq/L, açlık kan şekeri 109 mgd/dL, ürik asit 4.9 mg/dL, total protein 6.3 mg/dL, albumin 3.1 mg/dL, total bilirubin 0.63 mg/dL, direkt bilirubin 0.19 mg/dL, SGOT 47 mg/dL, SGPT 47 mg/dL, ALP 242 mg/L, GGT 87 mg/L, CPK 164 mg/L, ESH 82 mm/saat, CRP 174 mg/L, ferritin 519 mg/L olarak saptandı.

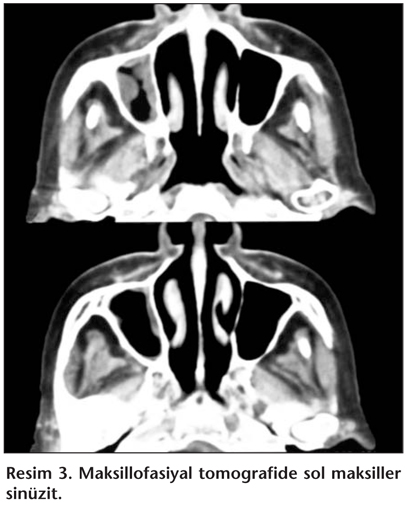
Kliniğe yatırıldıktan sonra hastadan asido rezistan basil (ARB) incelemesi için ardışık üç kez balgam ve idrar, bakteriyel, mikobakteriyel ve fungal kültür örneği alındı. Pürifiye protein derivesi negatif ölçüldü. ARB görülmeyen ve kültürlerinde bakteri ve fungus üremesi olmayan hastanın örnekleri tüberküloz için inkübasyonda tutuldu. Yüksek ateş, trombositoz ve CRP yüksekliği olan hastaya tüm kültürleri alındıktan sonra klinik ve patolojik destekleyiciler nedeniyle piridoksin ile birlikte ampirik dörtlü (izoniazid 1 x 300 mg, rifampisin 1 x 600 mg, pirazinamid 25 mg/kg, etambutol 15 mg/kg) antitüberküloz tedavi başlandı. Hastanın kliniğe yatışından sonra ara ara az miktarda burun kanaması oldu ve bunun dış merkezde yapılan nazal girişimli bronkoskopi sonrası mukozal tahrişe bağlı olabileceği düşünüldü. Yatışının ikinci haftasında sol ayakta hipoestezi ve parezi gelişti. Nöroloji anabilim dalı ile konsülte edilen hastada nöropati düşünüldü ve EMG ile doğrulandı. Ancak yaygın akciğer parankim tutulumu olan ve tedavinin 15. gününe rağmen klinik ve laboratuvar bulgularında düzelme saptanmayan hastanın dış merkezde değerlendirilmiş akciğer parankim biyopsilerinin yeniden hastanemizde incelenmesi planlandı. Değerlendirilmeye alınan bu örnekler "nekrotizan granülomatöz inflamasyon" olarak raporlandı. Dokuda yapılan tüberküloz polimeraz zincir reaksiyonu negatif saptandı. Bunun üzerine nekrotizan granülomatöz tabloların ayırıcı tanısına gidildi. Hastanın burun akıntısı öyküsü ve son dönemde olan burun kanamaları düşünüldüğünde hastaya maksillofasiyal tomografi ve PR3-ANCA istendi. Tomografide maksiller sinüzit saptandı (Resim 3). PR3-ANCA pozitif idi. İdrarda mikroskobik hematürisi vardı. WG kriterlerinin hepsini karşılayan hastanın tüberküloz tedavisi kesildi. Siklofosfamid intravenöz yüksek doz infüzyon (tek doz) ve prednizolon 2 mg/kg tedavisi başlandı. Tedavi öncesi nazal sürüntü kültürleri alınarak Staphylococcus aureus nazal taşıyıcılığı araştırıldı ancak belirlenmedi. Hastaya trimetoprim-sülfametoksazol günde tek doz fort tablet başlandı. İlk siklofosfamid dozundan iki hafta sonra ilaç tekrarlandı. Takiplerinde hastanın ateşi düştü, klinik olarak iyileşti ve akciğer bulgularında gerileme saptandı. Balgam ve idrarda Mycobacterium tuberculosis üremesi olmayan hasta prednizolon ve siklofosfamid oral tedavisi ile ayaktan izlenmek üzere taburcu edildi.

TARTIŞMA

WG gerçek insidansı bilinmeyen ancak nadir olduğu düşünülen bir kliniko-patolojik antitedir. Etyolojisi tam olarak bilinmemekle birlikte henüz identifiye edilmemiş bir antijene karşı hipersensitif nötrofilik cevap sonucu olduğu düşünülmektedir[7]. Fonksiyonel renal hasar başvuru sırasında sık değildir ancak hastalığın seyri esnasında çoğu hastada (%77) glomerülonefrit (başlangıçtan ortalama iki yıl sonra) gelişir. Bu olgu da kendisini özellikle akciğer semptomları ve ateş ile ortaya koymaktaydı ve mikroskobik hematüri dışında renal tutuluma ait bulgu saptanmamıştı.

Kortikosteroid ve yeni immünsüpresif tedaviler ile morbidite ve mortalitesi ciddi oranda azaltılan WG özellikle böbrek tutulumu olan vakalarda kötü prognoza sahiptir. Tanıda gecikmeler yaygın hastalık ve komplikasyon gelişimi için risk taşımaktadır[1,7]. Bu nedenle bu olguda hastalığın renal tutulum olmadan tanınmasının prognozu olumlu etkileyeceği kanısındayız.

Vaskülitler genellikle genç ve orta yaşta bireyleri daha sıklıkla etkilediğinden yaşlı hasta popülasyonunda ateş varlığında infeksiyonlar ayırt edilmesi gereken ilk hastalık grubu gibi görülmektedir. Özellikle de tüberkülozun endemik olduğu ülkemizde sinsi seyirli, nodüller ve infiltrasyonlar ile seyreden akciğer hastalığı varlığında tüberküloz inat ile araştırılan ve çoğunlukla da ampirik tedavi ile tanıya ulaşılmaya çalışılan bir klinik durumdur. Ülkemizde yapılmış bir çalışmada odağı belirlenemeyen ateş nedeniyle izlenen hastalarda etyolojide en sık saptanan hastalığın tüberküloz olduğu bildirilmiştir[8]. Özellikle tedaviye yanıtsız hastalarda tüberküloz ayırıcı tanısında WG düşünülmeli ve akciğer dışı semptomlar (özellikle renal tutulum ve üst hava yolları tutulumu) ve patolojide nekroz varlığı sorgulanmalıdır. Tanının kuvvetle düşünüldüğü olgularda PR3-ANCA istenmesi WG tanısını ciddi olarak desteklemektedir.

Ayırıcı tanının yapılması hastaya uygun tedavinin verilmesi yanında gereksiz ve toksik olabilecek bir tedavinin verilmemesini de sağlayacaktır. Tıpta sık görülen hastalıklar en önce düşünülmeli, nadir görülen tablolar ise aklımızın bir ucunda bizi her zaman uyanık tutmalıdır.

KAYNAKLAR

  1. Doğanavşargil E. Sistemik vaskülitler: Etiopatogenez, tanı ve tedavi açısından genel yaklaşım. Gümüşdiş G, Doğanavşargil E (editörler). Klinik Romatoloji. İstanbul: Deniz Matbaası, 1999:371-422.
  2. Leavitt RY, Fauci AS, Bloch DA, et al. The American College of Rheumatology 1990 criteria for the classification of Wegener's granulomatosis. Arthritis Rheum 1990;33:1101-13.
  3. Kaushik ML, Sinka PK, et al. Limited Wegener's granulomatosis presenting as multipl lung nodules. Indian J Chest Dis Allied Sci 2004;46:32-42.
  4. Stegeman CA, Tervaert JVC, et al. Trimethoprime-sulfometaxazole (ko-trimoxazole) for the prevention of relapses of Wegener's granulomatosis. N Engl J Med 1996; 335:16-20.
  5. Jayne D, Rasmussen N, et al. A randomized trial of maintenance therapy for vasculitis associated with antineutrophil cytoplasmic autoantibodies. N Engl J Med 2003; 349:36-44.
  6. Bacon PA. The spectrum of Wegener's granulomatosis and disease relapse. N Engl J Med 2005;352:330-2.
  7. Piercey S, Montanaro A. Recurrent Wegener's granulomatosis: A case report and review. Ann Allergy Asthma Immunol 1996;76:317-20.
  8. Saltoglu N, Tasova Y, Midikli D, Aksu HS, Sanli A, Dundar IH. Fever of unknown origin in Turkey: Evaluation of 87 cases during a nine-year-period of study. J Infect 2004;48:81-5.

Yazışma Adresi:

Uzm. Dr. Behice KURTARAN

Çukurova Üniversitesi Tıp Fakültesi

İnfeksiyon Hastalıkları ve

Klinik Mikrobiyoloji Anabilim Dalı

ADANA

e-mail: behice_2000@yahoo.com,  

Makalenin Geliş Tarihi: 28.07.2005   Kabul Tarihi: 02.09.2005

Yazdır